Anatomía fisiológica del músculo cardíaco
Os discos intercalares são membranas que separam as células musculares cardíacas umas das outras. Ou seja, as fibras musculares cardíacas são formadas por muitas células individuais conectadas em série entre si.
Nivel Tisular Dibujo

Uma característica presente somente nos cardiomiócitos são os discos intercalares, que contêm junções comunicantes (adesões que facilitam a rápida comunicação entre as células). Por causa dessa característica, o miocárdio funciona como um sincício com contração sincronizada.
Anatomia Muscular Liso Cardiaco Esqueletico Histologia Musculo Images

O músculo estriado cardíaco possui discos intercalares e células com apenas 1 ou 2 núcleos, difere-se do esquelético devido a localização do núcleo que passa a ser central. Já o músculo liso apresentam células fusiformes e apenas 1 núcleo e estão presentes nos vasos sanguíneos e órgãos viscerais, com contração lenta e involuntária.
Arquitectura muscular esquelética Labster

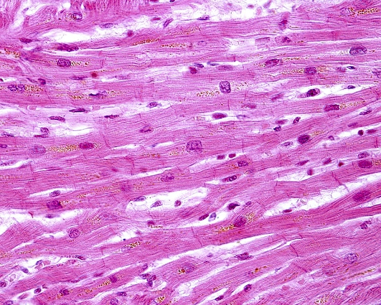
Discos intercalares. Os miócitos cardíacos estão unidos por meio dos discos intercalares, que coincidem com as linhas Z. Eles aparecem como linhas que atravessam as fibras musculares perpendicularmente quando são examinadas por um microscópio.
O Que é Músculo Estriado Esquelético
Um disco intercalar, disco intercalado ou traço escalariforme de Eberth é uma junção comunicante, formada por uma membrana dupla ondulada que separa células adjacentes em fibras de músculo cardíaco. Os discos intercalares permitem a contração sincronizada do tecido cardíaco, e proporcionam maior adesão entre as células musculares cardíacas.
Mapa Mental Musculo Esqueletico Ologia

Um aspecto importante dessa musculatura é o fato de entre as suas células existir linhas transversais fortemente coráveis que aparecem em intervalos irregulares, denominadas discos intercalares. São verdadeiros complexos juncionais que aparecem como linhas retas ou exibem um aspecto em escada.
Tecido Muscular Estriado Cardíaco Unioeste

Os discos intercalares são encontrados exclusivamente no músculo cardíaco. São complexos juncionais encontrados na interface das células ramificadas adjacentes que compõem o músculo cardíaco, que proporcionam maior adesão entre essas células, além de auxiliar na contração sincronizada do músculo.
Contração Do Musculo Liso MODISEDU

Anatomia Tórax Coração. Sistema de condução do coração. Autor: Dr. Rafael José Vieira • Revisor: Dr. Rafael Lourenço do Carmo. Última revisão: 30 de Outubro de 2023. Tempo de leitura: 31 minutos. Sistema condutor do coração. Complexus stimulans cordis. 1/4. Sinônimos: Sistema elétrico do coração, Systema conducens cordis.
No Músculo Cardíaco As Células Musculares São Chamadas De

As células do músculo estriado cardíaco são menores e estão unidas entre si através de especializações da membrana plasmática chamadas de discos intercalares. Graças aos discos intercalares, um estímulo recebido em uma região do coração é repassado para todas as células musculares estriadas cardíacas, levando todo o coração a.
Cardiomiocitos Labster Theory

São pálidos. O citoplasma das fibras do miocárdio contém miofibrilas e sarcoplasma e exibe estrias transversais semelhantes às estrias descritas no músculo estriado. Em adição, as fibras musculares cardíacas são atravessadas aqui e ali por faixas únicas escuras, chamadas discos intercalados.
Histologia del Miocardio Músculo Cardiaco Explicación fácil

Disco Intercalar. As fibras de músculo cardíaco unem-se entre si através da presença de uma estrutura própria de união: o disco intercalar, assim, distingue-se do tecido muscular esquelético por não existirem longas fibras individualizadas, mas sim, ramificadas e unidas entre si;
Farone Exam 4 Cardio Biology 346 with Farone at Grove City College StudyBlue

TECIDO MUSCULAR ESTRIADO CARDÍACO - 3. Discos intercalares. Os discos intercalares são vistos como barras que atravessam transversalmente as fibras musculares cardíacas. São formadas por longos complexos juncionais e delimitam as extremidades de cada fibra muscular cardíaca.
PPT Tejido Muscular y Tejido Nervioso PowerPoint Presentation, free download ID2347907

Um disco intercalar, disco intercalado ou traço escalariforme de Eberth é uma junção comunicante, formada por uma membrana dupla ondulada que separa células adjacentes em fibras de músculo cardíaco. Os discos intercalares permitem a contração sincronizada do tecido cardíaco, e proporcionam maior adesão entre as células.
Características Do Tecido Muscular Estriado Esquelético MODISEDU

Os discos intercalares são vistos como barras que atravessam transversalmente as fibras musculares cardíacas. São formadas por longos complexos juncionais e delimitam as extremidades de cada fibra muscular cardíaca.
Tecido muscular O que é, função, contrações, tipos, liso, estriado

O tecido muscular esquelético, como o próprio nome sugere, está associado com os ossos do corpo (por exemplo, o bíceps que promove a movimentação do antebraço em relação ao braço). A contração dessa musculatura é voluntária, suas células são cilíndricas, multinucleadas e apresentam um aspecto estriado ao microscópio.
ANATOMIA Estructura y propiedades del los músculos

A primeira porçã: que assegura a coesão das células cardíacas. A segunda porção: ocorre a transmissão dos impulsos nervosos que passam de uma célula cardíaca para outra. Assim temos que, o músculo que possui discos intercalares é: d. coração.
.